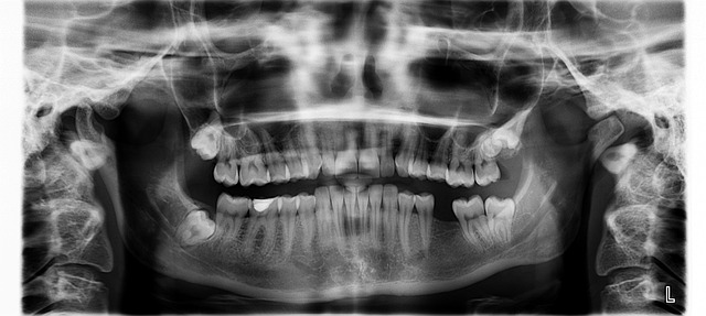
사랑니 속 줄기세포가 뇌·심장·뼈를 치료한다고?
매몰되던 사랑니, 이제는 '생명 백업'의 시대

한때는 불필요하고 고통스러운 치아로 여겨졌던 사랑니(wisdom tooth).
하지만 최근 의료 과학계는 이 사랑니에서 미래 재생의학의 핵심 자원,
바로 **줄기세포(stem cell)**를 찾아냈습니다.
사랑니 속 줄기세포는 신경세포, 심장세포, 골세포로 분화할 수 있는 잠재력을 지닌 것으로 밝혀졌으며,
이는 파킨슨병, 알츠하이머, 심부전, 관절 손상 같은 난치성 질환 치료의 실마리가 될 수 있다는 기대를 모으고 있습니다.
🧬 사랑니에서 줄기세포가 나온다고요?
사랑니 속에는 치수조직(dental pulp)이라는 연조직이 있습니다.
이 치수 속에는 치아유래 중간엽 줄기세포(Dental Pulp Stem Cell, DPSCs)가 존재합니다.
이 줄기세포는 다음과 같은 놀라운 가능성을 보여주고 있습니다.
| 분화 가능 세포 | 치료 가능성 |
| 🧠 신경세포 | 파킨슨병, 알츠하이머 등 뇌 손상 치료 |
| 💀 골조직 세포 | 관절염, 두개골 손상 등 뼈 재생 |
| ❤️ 심장근 세포 | 심부전, 심장근 손상 회복 |
📌 기존 골수 줄기세포보다 뛰어난 재생력!
- 연구 결과에 따르면 사랑니 줄기세포는 골수 줄기세포보다 뼈 생성 능력이 더 높음
- 또한 면역 거부 반응이 낮고, 윤리적 문제 없이 확보 가능

🦷 사랑니 줄기세포, 어떻게 확보하나요?
놀랍게도 통증 없이, 그리고 일상적인 치과 시술만으로 줄기세포를 얻을 수 있습니다.
▶️ 과정은 간단합니다:
- 사랑니 발치 (특히 뿌리 형성이 완료된 경우 이상적)
- 치수 조직 분리
- 전문기관에 냉동 보관 (줄기세포 보관 서비스 이용)
- 향후 필요 시 재생의학 치료에 활용
현재는 일부 전문 줄기세포 은행이 사랑니 줄기세포 보관 서비스를 제공하고 있으며,
이를 ‘생물학적 백업 드라이브’로 불리기도 합니다.
🧠 뇌, ❤️ 심장, 🦴 뼈… 어디에 쓰일 수 있을까?
✅ 1. 뇌질환 치료
- 신경세포로 분화 가능 → 파킨슨병, 알츠하이머 치료 연구 중
- 외상성 뇌손상, 척수 손상 등에도 적용 가능성
✅ 2. 심장질환
- 심근세포 유도 → 손상된 심장 조직 회복
- 심근경색, 만성 심부전 치료 후보군으로 주목
✅ 3. 골조직 재생
- 골절, 턱뼈 손상, 두개골 결손 등
- 특히 고령자의 뼈 재생 치료에 효과적

🌍 왜 ‘사랑니 줄기세포’가 각광받는가?
| 기존 줄기세포 | 사랑니 줄기세포 |
| 주로 골수 추출 | 발치만으로 채취 가능 |
| 채취 시 통증 큼 | 비교적 무통 |
| 윤리적 문제 있음 (배아 유래) | 윤리적 논란 없음 |
| 비용·보관 까다로움 | 대중화된 상용 서비스 등장 |
| 자가 이식 제한 | 자가 사용 가능성 높음 |
💡 사랑니 발치 계획 있다면?
보관할지 말지 고민해볼 만한 3가지 이유
- ✅ 건강한 치수조직은 평생 한 번의 기회
→ 감염되기 전 상태에서 발치해야 줄기세포 확보 가능 - ✅ 가족 보관 가능 (유전적 유사성)
→ 형제, 부모, 자녀 간 치료 활용 가능성 있음 - ✅ 의료 기술 발전 속도 빠름
→ 현재 연구 단계라도, 10~20년 내 실질적 치료 가능성 존재
❗ 주의사항
- 충치가 심하거나 염증이 있는 사랑니는 줄기세포 활용이 어려움
- 줄기세포 보관은 전문 기관을 통한 위생적 채취 및 냉동 보관 필수
- 국내·국외 등록된 줄기세포 보관 업체 비교 필수
🎯 마무리 한 줄 요약
뽑아버리던 사랑니,
이제는 ‘생명 백업’이 됩니다.
2025.08.03 - [분류 전체보기] - 이제는 뇌가 먼저 예방한다! 감염을 예측하는 우리의 뇌
이제는 뇌가 먼저 예방한다! 감염을 예측하는 우리의 뇌
아픈 사람 보기만 해도 면역 반응? 뇌의 놀라운 '선제 대응 시스템'🧠 "몸보다 뇌가 먼저 움직인다"– 스위스 연구진이 밝힌 면역계의 새로운 비밀감기 기운 있는 사람을 마주쳤을 때, 우리는 본
aaa.infoflow.co.kr
2025.08.05 - [분류 전체보기] - 수면의 신세계, ‘에어컨 틀고 이불 덮기’… 뇌는 이 순간을 사랑한다
수면의 신세계, ‘에어컨 틀고 이불 덮기’… 뇌는 이 순간을 사랑한다
에어컨 틀고 이불 덮을 때 뇌가 느끼는 ‘완벽함’의 비밀한여름 밤, 시원한 에어컨 바람 속에 이불을 덮고 누우면 설명할 수 없는 평온함과 행복감이 밀려옵니다. 마치 뇌가 "지금 이 순간이 완
aaa.infoflow.co.kr
2025.07.30 - [분류 전체보기] - 이식 가능한 인공장기? 혈관 자라는 미니 심장이 현실이 됐다
이식 가능한 인공장기? 혈관 자라는 미니 심장이 현실이 됐다
🧬“심장이 실험실에서 뛴다?”– 스탠포드대, 혈관 갖춘 ‘미니 심장·간’ 세계 최초 개발심장이 실험실에서 자라났고, 심지어 스스로 ‘뛰기’ 시작했습니다.간세포들도 스스로 연결되어
aaa.infoflow.co.kr
2025.07.30 - [분류 전체보기] - 유방 제자리암, 절반은 ‘진짜 암’이 됩니다… 지금 확인하세요
유방 제자리암, 절반은 ‘진짜 암’이 됩니다… 지금 확인하세요
🩺“유방 제자리암, 지금 발견하면 치료됩니다”– 유방암 전 단계 ‘DCIS’ 환자 급증… 놓치면 ‘진짜 암’됩니다유방암은 여성에게 가장 흔한 암 중 하나입니다.그런데 최근 주목받고 있는
aaa.infoflow.co.kr
2025.07.30 - [분류 전체보기] - 조울증과 조현병의 새로운 범인… ‘HCV’가 의심받는 이유
조울증과 조현병의 새로운 범인… ‘HCV’가 의심받는 이유
🧠“정신질환의 원인, 바이러스일 수 있다?” – 조현병·조울증과 HCV 감염의 충격적 연관성조현병과 조울증은 우리가 익히 알고 있는 대표적인 정신질환입니다. 이 두 질환은 단순한 기분의
aaa.infoflow.co.kr